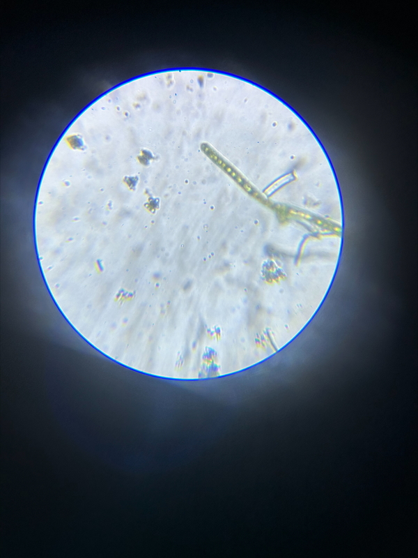
Seventh graders in Ms. Ramminger's class explored ecosystems by creating wet mount slides of protist and algae samples. They observed and identified these microorganisms under the microscope before introducing them into their pond ecosystems for ongoing study.







